
Na Clínica Lídia Assis, o atendimento une empatia, técnica e cuidado para promover autoestima, bem-estar e qualidade de vida além da estética.

Cada paciente tem uma história, um sonho, uma razão para sorrir. Por isso, a Dra. Lídia Assis une mais de 10 anos de experiência com escuta ativa, empatia e técnica para transformar sorrisos com segurança e naturalidade.
Aqui, você encontra um atendimento personalizado, que respeita sua individualidade e valoriza sua essência.
Olha como cuidamos de você:
Você será ouvido(a). Entendemos sua história, seus medos, seus desejos e fazemos uma análise completa da sua saúde bucal.
O diagnóstico e todo o tratamento é feito por especialistas para garantir o melhor de cada área da odontologia.
Utilizamos técnicas modernas e equipamentos que garantem o máximo de conforto, especialmente para quem tem medo de dentista.
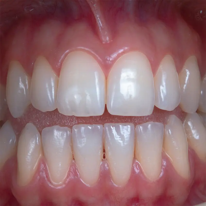
Você verá a transformação no espelho e sentirá na pele o impacto de voltar a sorrir sem vergonha. Muitos pacientes se emocionam neste momento — e nós também.
A gente não desaparece após o tratamento. Estamos ao seu lado para garantir que o resultado seja duradouro e você se sinta verdadeiramente satisfeito(a).
Publicado em Rafael CastroTrustindex verifica se a fonte original da avaliação é Google. Consultório super agradável .. excelente localização e fácil acesso .. Dra Lídia sempre atenciosa , atendimento impecável e de super confiança .. parabéns a toda equipe !Publicado em Ana Luisa VieiraTrustindex verifica se a fonte original da avaliação é Google. Dr Lidia e Dr Frania são muito simpáticas e atenciosas, atendimento é excelente! Recomendo muito!!Publicado em Andre RodrigoTrustindex verifica se a fonte original da avaliação é Google. Assis Odontologia sempre com um ótimo atendimento a Dra Lidia e muita atenciosa e preocupada com os pacientes e me da um puxões de orelha as vezes .Publicado em Sérgio RodriguesTrustindex verifica se a fonte original da avaliação é Google. Ótima Doutora Lidia de tudo que ela faz para o Paciente, excelentePublicado em Karina DeckerTrustindex verifica se a fonte original da avaliação é Google. Experiência incrível. Dra Lídia muito amável educada. Fui muito bem atendida e recepcionada desde o primeiro dia. Estou muito feliz com o resultado do meu tratamento.Publicado em Marcelle FerraroTrustindex verifica se a fonte original da avaliação é Google. O trabalho da Dra Lidia é simplesmente impecavel . Sou fa do trabalho dela .Publicado em Gabriele CostaTrustindex verifica se a fonte original da avaliação é Google. Ótimos profissionais, atendimento excelente! A Dra. Lidia é uma profissional maravilhosa, do começo até a conclusão do tratamento.Publicado em Fernanda MouraTrustindex verifica se a fonte original da avaliação é Google. Acho que sou suspeita para falar o que acho desse lugar e dos profissionais.. simplesmente amo e não troco por nenhum outro! Quando se fala em saúde e estética bucal é com elas mesmo. 😍😁🦷

Acreditamos que sorrir não é só estética – é qualidade de vida. Por isso, unimos experiência em odontologia com um cuidado humano, acolhedor e transformador.
Aqui, cada paciente é tratado como parte da nossa história. Entendemos suas dores, medos e desejos – e, acima de tudo, respeitamos o seu tempo e suas escolhas.
Com tecnologia de ponta e uma equipe comprometida, atuamos em reabilitação oral, prótese sobre implante, clareamento e ortodontia, lentes de contato em resina e porcelana, com foco em resultados duradouros e naturais.

Agende agora sua avaliação gratuita e descubra um caminho acessível para o sorriso que você merece.
© 2025 Assis Odontologia. Todos os direitos reservados.